Kitten with severely narrowed esophagus undergoes multiple ballooning procedures

2025-09-30T23:00:00.000Z

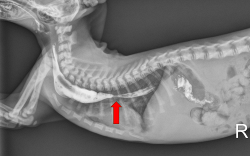
Imaging revealed the kitten’s esophagus was under 1 mm in diameter compared with 8 mm expected at his age.

Recently, the University of California (UC), Davis, School of Veterinary Medicine highlighted the case of Ginger, a male kitten who was discovered to have a narrowing in his esophagus, called a stricture, that prevented food from reaching his stomach.1 To save Ginger, a team at the UC Davis William R. Pritchard Veterinary Medical Teaching Hospital’s (VMTH’s) Feline Pediatric Service had to perform multiple rounds of surgery to open Ginger’s esophagus.

Esophageal strictures in cats can develop from a variety of causes, including anesthesia, trauma such as the ingestion of a foreign body, ingestion of caustic substances, certain medications like doxycycline or clindamycin, esophagitis, and gastroesophageal reflux disease.2 Tumor invasion can be another cause of strictures in the esophagus, though esophageal tumors are rare.2

Ginger was found as an abandoned newborn kitten alongside 3 siblings and placed in a foster home with a volunteer named Kendra from FieldHaven Feline Center, an animal shelter located in Lincoln, California. At approximately 5 weeks old, he began regurgitating his food. The issue continued with more feedings, so he was examined by a veterinarian at FieldHaven. However, after Ginger’s condition continued to worsen, he was referred to the VMTH’s Feline Pediatric Service for specialty care.

There, radiographs revealed a stricture in Ginger’s esophagus. Subsequent CT scans showed that his esophagus was opening less than 1 mm, far below the 8-mm opening typical for a healthy 6-week-old kitten. CT findings also included pneumonia, likely due to aspiration from regurgitation.1

Karen Vernau, DVM, MAS, DACVIM (Neurology), who was working on Ginger’s case, consulted with Sean Hulsebosch, DVM, DACVIM (SAIM), another faculty member at VMTH, after “recognizing that Ginger’s case could quickly become fatal.”1 Hulsebosch then created a treatment plan to open Ginger’s esophagus with a ballooning procedure that is done through an endoscopy.

The procedure proved to be successful, with Ginger experiencing no regurgitation and feeding well. However, approximately 6 days later, Ginger experienced a recurrence, which is not uncommon with this form of stricture, and regurgitated his food again. As a result, Hulsebosch repeated the procedure and initiated weekly ballooning treatments to gradually fully open Ginger’s esophagus, according to UC Davis.

Ginger’s condition recurred following every procedure. However, the esophagus gradually widened with each ballooning, reaching 7 mm after the last procedure.

“After each procedure, Ginger’s esophagus stayed open 1 mm, then to 2 to 3 mm, 3 to 4 mm, 4 to 5 mm, and finally remaining [at] 7 mm following the last ballooning,” UC Davis said in its report.1

Although the kitten will need to stay on soft food for the rest of his life, UC Davis said Ginger's outlook is positive.

“Since his final surgery [3] months ago, Ginger has had no recurring regurgitation issues,” Kendra said in the report.1 “And nothing is slowing him down. He is the most energetic and personable kitten imaginable.”

According to UC Davis, Ginger has been officially adopted by Kendra and her husband. “We will continue to monitor Ginger for any recurring issues, but he is doing very well now and enjoys the canned food,” Kendra said.

References

  1. Procedure to correct esophageal stricture saves kitten on brink of starvation. UC Davis School of Veterinary Medicine. September 29, 2025. Accessed September 30, 2025. https://www.vetmed.ucdavis.edu/news/procedure-correct-esophageal-stricture-saves-kitten-brink-starvation
  2. Esophageal strictures in small animals. Merck Veterinary Manual. May 2025. Accessed September 30, 2025. https://www.merckvetmanual.com/digestive-system/diseases-of-the-esophagus-in-small-animals/esophageal-strictures-in-small-animals